“真的好多了,我的手可以伸到自己嘴巴了。”日前,48岁的李女士顺利出院。而这也意味着,梧州市中医医院开展的全市首例桡骨头定制假体置换手术取得成功。
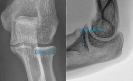
48岁的李某是梧州本地人,2020年07月17日因跌倒至肘部骨折脱位,在市内某医院拍片后明确为右肘关节脱位并桡骨头粉碎性骨折。为求中西医结合治疗来我院就诊。入院后值班医生第一时间为其行肘关节脱位闭合手法复位石膏托外固定,使患者病情转急为缓。完善检查发现患者桡骨头骨折粉碎非常严重,已经到了无法复位内固定的程度,如果勉强复位,术后一定会出现肘关节退变,活动受限的后遗症。
![]()
针对该类型骨折,以往常规采取桡骨头切除治疗,但术后常出现因桡骨短缩而导致的肘关节不稳以及下尺桡关节受累情况,后期多疼痛并活动受限。近年来我院上肢骨关节科已成功开展数例人工桡骨头置换手术。故而想到了为患者进行人工桡骨头置换治疗。 ![]() 但是,祸不单行,完善健侧的相关影像资料经测量后发现患者骨骼偏小。常规厂家提供的最小型号桡骨头假体直径为18mm,而患者健侧的桡骨头直径测量不足18mm,且按照该项技术要求,所采用假体直径要比健侧测量值小2mm左右,即直径为16mm假体,术后才能获得满意的活动功能。 针对该困局,患者曾想到放弃对良好功能的追求,行复位内固定的姑息手术。但是我院上肢骨关节科团队仍然为患者深入专研,寻求更好的治疗方案。最后有着多例上肢关节假体置换经验的何晖教授想到了定制一套符合李某自己身体情况的个体化假体进行手术治疗。听到这样的方案,患者及其家属多日的愁眉终于得以舒展。 ![]()
然后积极与假体生成厂家联系,经过设计、加工、运送、手术室灭菌消毒等处理。约1周后终于能为患者实施手术了。手术在精密的操作下,首先将骨粉碎的桡骨头骨块完整取出,再将人工假体安置。手术非常成功,术后第二天李某就按何晖教授的要求在病房进行功能锻炼,术后5天对疗效满意,顺利出院。
人工关节置换技术
据何晖教授介绍,梧州市中医医院人工关节置换技术经过多年的发展,已经比较成熟。该技术适用于骨性关节炎、类风湿关节炎、创伤性关节炎、肱骨近端粉碎性骨折、肩袖损伤性关节病、骨坏死、肿瘤、肩关节发育不良、陈旧性感染等等。所涉及关节除一般医院普遍开展的髋关节、膝关节置换外,我院上肢骨关节科在10年前便开展了肩关节置换、桡骨头(肘关节)置换、指间关节置换等多项新技术,为广大患者解除了许多过去无法解决的痛苦。
梧州市中医医院骨关节置换术已非常成熟
对于人工关节的发明与生产,最早均起源于欧美国家,我国生产人工关节假体初期均是在欧美国家产品基础上仿照创新,且这些厂家主要集中在北京、天津、山东等北方地区。欧美国家及我国北方人群体格普遍高大,产品主要适应这些人群。而两广地区人群体格总体偏瘦小,特别是女性同志,所以在各大医院进行关节置换时均出现过最小号假体与患者关节匹配程度不满意的情况,甚至有些医院勉强为患者手术,出现假体周围骨折的情况。定制性假体置换为今后临床上治疗骨骼偏小的患者进行关节置换治疗提供了新的思路与方法,必然为该类型患者带去福音。 梧州市中医医院手足、上肢骨关节科是区级重点专科骨伤科的分病区。
![]()
科室常规开展:中西医结合骨科、上肢骨关节创伤及骨病、手足显微外科、上肢运动关节镜微创骨科等等。主要技术包括中医骨折手法整复、上肢人工关节置换、上肢关节镜技术、断指(肢)再植、皮瓣转移技术等等,在桂东南地区处于领先地位。
咨询电话:0774-2280227 |









